Τα αόρατα τσιπάκια
Το ξέρατε ότι διά νόμου όλα τα κατοικίδια πρέπει να φέρουν εμφυτεύσιμο μικροτσίπ με πληροφορίες για την ταυτότητα και την υγεία τους; Οτι υπάρχουν και πολλοί άνθρωποι που για λόγους ιατρικούς ή ασφαλείας κάνουν το ίδιο; Ποια τα οφέλη και ποιοι οι κίνδυνοι από τη νέα τεχνολογία;
Στην ταινία του «Τελική πράξη» (Final Cut) ο λιβανέζος σκηνοθέτης και σεναριογράφος Ομάρ Ναΐμ είχε οραματιστεί μια κοινωνία στην οποία κατά τη γέννηση του ανθρώπου εμφυτεύεται στον εγκέφαλό του ένα μικροτσίπ το οποίο καταγράφει κάθε στιγμή της ζωής του. Με τη βοήθεια αυτού, μετά τον θάνατο του κατόχου του, υπάρχει η δυνατότητα ανάκλησης όλων των αναμνήσεων που είχε συλλέξει κατά τη διάρκεια της ζωής του. Στόχος, η δημιουργία μιας ταινίας με τα κυριότερα αποσπάσματα του βίου του, η οποία παρουσιάζεται στην κηδεία του εκλιπόντος.
Η ιδέα αυτή αρχικά μπορεί να μοιάζει τρελή έως απάνθρωπη, θα μπορούσε όμως ενδεχομένως να αποτελέσει μια από τις μελλοντικές εξελίξεις της καλπάζουσας τεχνολογίας των εμφυτεύσιμων μικροτσίπ. Εδώ και χρόνια η συγκεκριμένη τεχνολογία εφαρμόζεται σε ζώα. Ωστόσο, όπως όλα δείχνουν στον επιστημονικό κόσμο σειρά έχει ο άνθρωπος: με πυρήνα την αστραπιαία ταυτοποίηση, τα εμφυτεύσιμα μικροτσίπ ταυτοποίησης μέσω ραδιοσυχνοτήτων (RFΙD) θα μπορούσαν κατά τους ειδικούς να εξυπηρετήσουν ιατρικούς σκοπούς σε περίπτωση έκτακτης ανάγκης ή να προσφέρουν διευκολύνσεις στον εργασιακό ή ακόμη και στον προσωπικό μας χώρο.
Η ιδέα αυτή αρχικά μπορεί να μοιάζει τρελή έως απάνθρωπη, θα μπορούσε όμως ενδεχομένως να αποτελέσει μια από τις μελλοντικές εξελίξεις της καλπάζουσας τεχνολογίας των εμφυτεύσιμων μικροτσίπ. Εδώ και χρόνια η συγκεκριμένη τεχνολογία εφαρμόζεται σε ζώα. Ωστόσο, όπως όλα δείχνουν στον επιστημονικό κόσμο σειρά έχει ο άνθρωπος: με πυρήνα την αστραπιαία ταυτοποίηση, τα εμφυτεύσιμα μικροτσίπ ταυτοποίησης μέσω ραδιοσυχνοτήτων (RFΙD) θα μπορούσαν κατά τους ειδικούς να εξυπηρετήσουν ιατρικούς σκοπούς σε περίπτωση έκτακτης ανάγκης ή να προσφέρουν διευκολύνσεις στον εργασιακό ή ακόμη και στον προσωπικό μας χώρο.
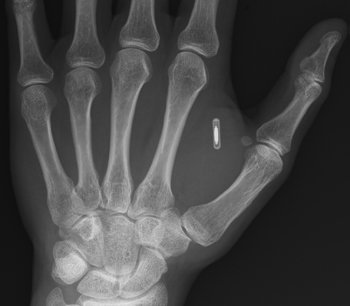
Ενα προσωπικό πείραμα
Ο δρ Μαρκ Γκάσον, επικεφαλής ερευνητής από το Πανεπιστήμιο του Ρέντινγκ στη Βρετανία, μάς εξήγησε πώς ακριβώς λειτουργεί η εν λόγω τεχνολογία, τους πιθανούς κινδύνους που μπορεί ενδεχομένως να κρύβει, αλλά μας μίλησε και για το πρωτότυπο πείραμα που πραγματοποίησε με πειραματόζωο τον... ίδιο του τον εαυτό.
Εμφυτεύοντας στο χέρι του ένα μικροτσίπ RFΙD το οποίο σε ρόλο «κλειδιού» τού παρέχει πρόσβαση σε συγκεκριμένους χώρους και εργαστήρια εντός των κτιριακών εγκαταστάσεων του πανεπιστημίου, ο ερευνητής μελέτησε τα κενά ασφαλείας της φουτουριστικής εφαρμογής, καθώς μέσω του ειδικού συστήματος ανάγνωσης κατάφερε να μολύνει το μικροτσίπ με έναν ηλεκτρονικό ιό.
«Αποδείξαμε ότι το σύστημα μπορούσε να μολύνει με έναν ιό τις εμφυτεύσιμες συσκευές.Αποδείξαμε, ακόμη, ότι πλήττοντας το κεντρικό σύστημα ο ιός μπορεί να καταστρέψει τη βάση δεδομένων ή να ανοίξει ένα παραθυράκι επιτρέποντας σε κάποιον να κλέψει στοιχεία από αυτήν» εξηγεί στο «Βήμα» ο δρ Γκάσον.
Ο δρ Μαρκ Γκάσον, επικεφαλής ερευνητής από το Πανεπιστήμιο του Ρέντινγκ στη Βρετανία, μάς εξήγησε πώς ακριβώς λειτουργεί η εν λόγω τεχνολογία, τους πιθανούς κινδύνους που μπορεί ενδεχομένως να κρύβει, αλλά μας μίλησε και για το πρωτότυπο πείραμα που πραγματοποίησε με πειραματόζωο τον... ίδιο του τον εαυτό.
Εμφυτεύοντας στο χέρι του ένα μικροτσίπ RFΙD το οποίο σε ρόλο «κλειδιού» τού παρέχει πρόσβαση σε συγκεκριμένους χώρους και εργαστήρια εντός των κτιριακών εγκαταστάσεων του πανεπιστημίου, ο ερευνητής μελέτησε τα κενά ασφαλείας της φουτουριστικής εφαρμογής, καθώς μέσω του ειδικού συστήματος ανάγνωσης κατάφερε να μολύνει το μικροτσίπ με έναν ηλεκτρονικό ιό.
«Αποδείξαμε ότι το σύστημα μπορούσε να μολύνει με έναν ιό τις εμφυτεύσιμες συσκευές.Αποδείξαμε, ακόμη, ότι πλήττοντας το κεντρικό σύστημα ο ιός μπορεί να καταστρέψει τη βάση δεδομένων ή να ανοίξει ένα παραθυράκι επιτρέποντας σε κάποιον να κλέψει στοιχεία από αυτήν» εξηγεί στο «Βήμα» ο δρ Γκάσον.
Ηλεκτρονική επίθεση
«Για την ακρίβειασχεδιάσαμε μια ηλεκτρονική “επίθεση”μέσω ενός ιού με στόχο την πλήρη καταστροφή της βάσης δεδομένων έτσι που κανένας να μην έχει πρόσβαση στο κτίριο.Από τη στιγμή που θα μολυνθεί η βάση, οποιοσδήποτε επιχειρήσει να περάσει από αυτήν- είτε με τη βοήθεια μιας “έξυπνης” κάρταςείτε φέροντας εμφυτεύσιμο μικροτσίπ“μολύνεται” επίσης με τον ηλεκτρονικό ιό.Αν,δηλαδή,κάποιος ως “φορέας” πλέον πάει στο διπλανό κτίριο, το οποίο διαθέτει το ίδιο σύστημα εισόδου,τότε το πιθανότερο είναι ο ιός να εξαπλωθεί και εκεί».
Στόχος του ειδικού ήταν να υπογραμμίσει το ενδεχόμενο διαρροής προσωπικών δεδομένων. «Τον τελευταίο καιρό υπάρχει αυξημένο ακαδημαϊκό ενδιαφέρον ως προς το τι ακριβώς συμβαίνει με τις συγκεκριμένες συσκευέςκαθώς,εκτός από τα μικροτσίπ,ούτε τα ιατρικά εμφυτεύματα διαθέτουν αυστηρές δικλίδες ασφαλείας,γεγονός που τα κάνει πιο ευάλωτα.Θα θέλαμε,μέσα στα επόμενα χρόνια, να δούμε μια πιστοποίηση ως προς τα πρωτόκολλα επικοινωνίας που χρησιμοποιούν οι συσκευές αυτές» αναφέρει ο ειδικός.
«Οι εμφυτεύσιμες συσκευές μοιράζονται σε δύο κατηγορίες. Από τη μία έχουμετα ιατρικά εμφυτεύματα όπως, π.χ.,οι διεγέρτες εγκεφάλου, οι βηματοδότες κ.ά.και από την άλλη τα εμφυτεύσιμα μικροτσίπ ταυτοποίησης μέσω ραδιοσυχνοτήτων, όπως, π.χ., το VeriChip (σ.σ. το εν λόγω τσιπ έλαβε έγκριση από την FDΑ το 2004, αλλά εδώ και δύο χρόνια η κατασκευάστρια εταιρεία σταμάτησε την παραγωγή του).Οι πρώτες μάλιστα είναι ιδιαίτερα περίπλοκες καθώς πρόκειται ουσιαστικά για μίνι υπολογιστές, που πραγματοποιούν ιδιαίτερα λεπτές συνδέσεις με τον ανθρώπινο οργανισμό.Αυτό που ξεχνούν οι πολέμιοι των μικροτσίπ RFΙDείναι ότι τα ηλεκτρονικά ιατρικά εμφυτεύματα χρησιμοποιούνται εδώ και πολλά χρόνια.Από την άλλη πλευρά,οι επιστήμονες τώρα προσπαθούν να προχωρήσουν την τεχνολογία αυτή σε σημείο ώστε να μπορεί να εμφυτεύεται ακόμη και σε υγιή άτομα, βελτιώνοντας στοιχεία όπως, π.χ., τον δείκτη νοημοσύνης,τη μνήμη, κ.ά.» μας λέει ο δρ Γκάσον.
Οι συνηθέστερες «παρεξηγήσεις»
http://www.tovima.gr/default.asp?pid=2&ct=33&artid=362803&dt=24/10/2010#ixzz13H6qVd6R
«Για την ακρίβειασχεδιάσαμε μια ηλεκτρονική “επίθεση”μέσω ενός ιού με στόχο την πλήρη καταστροφή της βάσης δεδομένων έτσι που κανένας να μην έχει πρόσβαση στο κτίριο.Από τη στιγμή που θα μολυνθεί η βάση, οποιοσδήποτε επιχειρήσει να περάσει από αυτήν- είτε με τη βοήθεια μιας “έξυπνης” κάρταςείτε φέροντας εμφυτεύσιμο μικροτσίπ“μολύνεται” επίσης με τον ηλεκτρονικό ιό.Αν,δηλαδή,κάποιος ως “φορέας” πλέον πάει στο διπλανό κτίριο, το οποίο διαθέτει το ίδιο σύστημα εισόδου,τότε το πιθανότερο είναι ο ιός να εξαπλωθεί και εκεί».
Στόχος του ειδικού ήταν να υπογραμμίσει το ενδεχόμενο διαρροής προσωπικών δεδομένων. «Τον τελευταίο καιρό υπάρχει αυξημένο ακαδημαϊκό ενδιαφέρον ως προς το τι ακριβώς συμβαίνει με τις συγκεκριμένες συσκευέςκαθώς,εκτός από τα μικροτσίπ,ούτε τα ιατρικά εμφυτεύματα διαθέτουν αυστηρές δικλίδες ασφαλείας,γεγονός που τα κάνει πιο ευάλωτα.Θα θέλαμε,μέσα στα επόμενα χρόνια, να δούμε μια πιστοποίηση ως προς τα πρωτόκολλα επικοινωνίας που χρησιμοποιούν οι συσκευές αυτές» αναφέρει ο ειδικός.
«Οι εμφυτεύσιμες συσκευές μοιράζονται σε δύο κατηγορίες. Από τη μία έχουμετα ιατρικά εμφυτεύματα όπως, π.χ.,οι διεγέρτες εγκεφάλου, οι βηματοδότες κ.ά.και από την άλλη τα εμφυτεύσιμα μικροτσίπ ταυτοποίησης μέσω ραδιοσυχνοτήτων, όπως, π.χ., το VeriChip (σ.σ. το εν λόγω τσιπ έλαβε έγκριση από την FDΑ το 2004, αλλά εδώ και δύο χρόνια η κατασκευάστρια εταιρεία σταμάτησε την παραγωγή του).Οι πρώτες μάλιστα είναι ιδιαίτερα περίπλοκες καθώς πρόκειται ουσιαστικά για μίνι υπολογιστές, που πραγματοποιούν ιδιαίτερα λεπτές συνδέσεις με τον ανθρώπινο οργανισμό.Αυτό που ξεχνούν οι πολέμιοι των μικροτσίπ RFΙDείναι ότι τα ηλεκτρονικά ιατρικά εμφυτεύματα χρησιμοποιούνται εδώ και πολλά χρόνια.Από την άλλη πλευρά,οι επιστήμονες τώρα προσπαθούν να προχωρήσουν την τεχνολογία αυτή σε σημείο ώστε να μπορεί να εμφυτεύεται ακόμη και σε υγιή άτομα, βελτιώνοντας στοιχεία όπως, π.χ., τον δείκτη νοημοσύνης,τη μνήμη, κ.ά.» μας λέει ο δρ Γκάσον.
Οι συνηθέστερες «παρεξηγήσεις»
Η πληροφορία που κουβαλούν τα ανθρώπινα εμφυτεύσιμα μικροτσίπ RFΙD, όπως ξεκαθαρίζει ο δρ Γκάσον, είναι ένας 16ψήφιος κωδικός ο οποίος μεταδίδεται μόνο όταν «διαβαστεί» με τον «ειδικό αναγνώστη». Στην περίπτωση των ζώων, αυτός περιορίζεται σε 10 ψηφία.
«Στα υπάρχοντα μικροτσίπ για την ώρα δεν περιλαμβάνονται προσωπικά δεδομένα.Επιπλέον,πολλοί τα συνδυάζουν με τον κίνδυνο δορυφορικού εντοπισμού,μέσω GΡS.Κάτι τέτοιο δεν είναι δυνατό. Ο μόνος τρόπος εντοπισμού του κατόχου ενός εμφυτεύσιμου μικροτσίπ RFΙD είναι μέσω του σήματος ενός αναγνώστηή μιας εξωτερικής συσκευ ής, όπως, π.χ., ένα κινητό τηλέφωνο, η οποία θα μπορούσε να είναι σχεδιασμένη ώστε να λειτουργεί με τον τρόπο αυτόν» επισημαίνει.
«Πολλές ομάδες που κατηγορούν τα εμφυτεύσιμα μικροτσίπέχουν κυρίως θρησκευτικό υπόβαθρο» εξηγεί ο επιστήμονας. Ο ίδιος δε φοβάται για την υγεία του, δηλώνει σχεδόν ανακουφισμένος που δεν χρειάζεται να κουβαλά ένα σωρό κλειδιά μαζί του. «Μέχρι στιγμής δεν υπάρχουν τεκμηριωμένες μελέτες που να αποδεικνύουν ότι η εμφύτευση μικροτσίπ RFΙD προκαλεί καρκινογένεση.Υπάρχει μια έκθεση της δρος Αλμπρεχτ η οποία όμως βασίζεται στην εξέταση μελετών που αφορούσαν κυρίως γενετικώς τροποποιημένα εργαστηριακά ποντίκια, τα οποία ενδεχομένως να ήταν πιο επιρρεπή στη νόσο». «Επιπλέον,πιστεύω ότι υπάρχουν κάποιες εφαρμογές της συγκεκριμένης τεχνολογίας που θα μπορούσαν πραγματικά να ωφελήσουν τους ανθρώπους, κυρίως όταν ανακουφίζουν από κάποια νόσο» προσθέτει ο δρ Γκάσον. «Αλλωστε είναι πολλά τα εμφυτεύματα τα οποία υπάγονται στην ιατρική κατηγορία και χρησιμοποιούνται εδώ και χρόνια. Για τον λόγο αυτόν- και από τη στιγμή που θα διευθετηθούν τυχόν προβλήματα ασφαλείας- δεν βλέπω γιατί θα έπρεπε να είναι κανείς αρνητικ ός απέναντι στην εμφύτευση των συσκευών αυτών».
Ωστόσο κάτι τέτοιο, όπως παραδέχεται, τον προβληματίζει ως προς την πιθανότητα μετατροπής της συγκεκριμένης τεχνολογίας σε ένα είδος «επιβαλλόμενης» μόδας. «Ισως σε λίγα χρόνιαυπάρξει παρόμοια κοινωνική πίεση όπως αυτή που νιώσαμε όλοι όταν πρωτοεμφανίστηκαν τα κινητά τηλέφωνα.Αυτό αποτελεί μια σοβαρή μας ανησυχία».
Ο νόμος για τα κατοικίδια
«Στα υπάρχοντα μικροτσίπ για την ώρα δεν περιλαμβάνονται προσωπικά δεδομένα.Επιπλέον,πολλοί τα συνδυάζουν με τον κίνδυνο δορυφορικού εντοπισμού,μέσω GΡS.Κάτι τέτοιο δεν είναι δυνατό. Ο μόνος τρόπος εντοπισμού του κατόχου ενός εμφυτεύσιμου μικροτσίπ RFΙD είναι μέσω του σήματος ενός αναγνώστηή μιας εξωτερικής συσκευ ής, όπως, π.χ., ένα κινητό τηλέφωνο, η οποία θα μπορούσε να είναι σχεδιασμένη ώστε να λειτουργεί με τον τρόπο αυτόν» επισημαίνει.
«Πολλές ομάδες που κατηγορούν τα εμφυτεύσιμα μικροτσίπέχουν κυρίως θρησκευτικό υπόβαθρο» εξηγεί ο επιστήμονας. Ο ίδιος δε φοβάται για την υγεία του, δηλώνει σχεδόν ανακουφισμένος που δεν χρειάζεται να κουβαλά ένα σωρό κλειδιά μαζί του. «Μέχρι στιγμής δεν υπάρχουν τεκμηριωμένες μελέτες που να αποδεικνύουν ότι η εμφύτευση μικροτσίπ RFΙD προκαλεί καρκινογένεση.Υπάρχει μια έκθεση της δρος Αλμπρεχτ η οποία όμως βασίζεται στην εξέταση μελετών που αφορούσαν κυρίως γενετικώς τροποποιημένα εργαστηριακά ποντίκια, τα οποία ενδεχομένως να ήταν πιο επιρρεπή στη νόσο». «Επιπλέον,πιστεύω ότι υπάρχουν κάποιες εφαρμογές της συγκεκριμένης τεχνολογίας που θα μπορούσαν πραγματικά να ωφελήσουν τους ανθρώπους, κυρίως όταν ανακουφίζουν από κάποια νόσο» προσθέτει ο δρ Γκάσον. «Αλλωστε είναι πολλά τα εμφυτεύματα τα οποία υπάγονται στην ιατρική κατηγορία και χρησιμοποιούνται εδώ και χρόνια. Για τον λόγο αυτόν- και από τη στιγμή που θα διευθετηθούν τυχόν προβλήματα ασφαλείας- δεν βλέπω γιατί θα έπρεπε να είναι κανείς αρνητικ ός απέναντι στην εμφύτευση των συσκευών αυτών».
Ωστόσο κάτι τέτοιο, όπως παραδέχεται, τον προβληματίζει ως προς την πιθανότητα μετατροπής της συγκεκριμένης τεχνολογίας σε ένα είδος «επιβαλλόμενης» μόδας. «Ισως σε λίγα χρόνιαυπάρξει παρόμοια κοινωνική πίεση όπως αυτή που νιώσαμε όλοι όταν πρωτοεμφανίστηκαν τα κινητά τηλέφωνα.Αυτό αποτελεί μια σοβαρή μας ανησυχία».
Ο νόμος για τα κατοικίδια
Εδώ και αρκετά χρόνια, τα εμφυτεύσιμα μικροτσίπ χρησιμοποιούνται για την ταυτοποίηση και καταγραφή των κατοικιδίων και παραγωγικών ζώων. Στην Ελλάδα, όπως μας ενημερώνει η πρόεδρος του Πανελλήνιου Κτηνιατρικού Συλλόγου κυρία Αθηνά Τραχήλη, το μικροτσίπ είναι υποχρεωτικό από το 2003 για τα κατοικίδια. Πέρα από τον περιορισμό των περιστατικών εγκατάλειψης, η συγκεκριμένη μέθοδος ταυτοποίησης θα μπορούσε να «φρενάρει» τη διακίνηση και εξαφάνιση των ζώων στο εξωτερικό.
«Δυστυχώς πάρα πολλά ζώα μεταφέρονται από την Ελλάδα σε άλλες χώρες με το πρόσχημα ότι θα έχουν καλύτερες συνθήκες διαβίωσης. Τελικά όμως δεν γνωρίζουμε τι τύχη έχουν αυτά. Ο έλεγχος, μέσω της ταυτοποίησης, θα μπορούσε να βοηθήσει πολύ στην αποτροπή των κινήσεων αυτών» αναφέρει η κυρία Τραχήλη. «Μέχρι τώρα υπάρχουν μόνο περί τις 135.000 καταχωρίσεις στη χώρα μας,γιατί ως γνωστόν στην Ελλάδα μπορεί να υπάρχουν νόμοι αλλά αυτοί πολλές φορές δεν εφαρμόζονται» τονίζει η επικεφαλής.
«Παρ΄ όλα αυτά το κράτοςχορηγεί στους δήμους κονδύλια για στειρώσεις,μικροτσίπ κτλ.Η Αθήνα και η Θεσσαλονίκη εμφανίζονται ως οι πλέον ενεργοί δήμοι.Σε ορισμένες περιοχές της Θεσσαλίας πάλι, εθελοντικά,κάποιοι αντιδήμαρχοι,που είναι υπεύθυνοι για τη γεωργία και την κτηνοτροφία των περιοχών αυτών,με δικά τους χρήματα κάλεσαν τους ιδιοκτήτες ζώων να βάλουν μικροτσίπ,όπως, π.χ.,στον Δήμο Βόλου» μας εξηγεί η κυρία Τραχήλη, υπογραμμίζοντας ότι η τοποθέτηση του μικροτσίπ είναι μόνο για τα δεσποζόμενα ζώα. Στην περίπτωση των αδέσποτων ζώων τοποθετούνται ειδικά κολάρα ή μικροτσίπ, τα οποία επίσης καταχωρίζονται στη βάση δεδομένων.
«Παρ΄ όλα αυτά, το πρόβλημα είναι μεγάλο. Στην παρούσα φάση συνδεόμαστε με την Εuropetnet, την ευρωπαϊκή βάση δεδομένων για τον εντοπισμό χαμένων ζώων,ενώ παράλληλα φτιάχνουμε ένα καινούργιο σύστημα προκειμένου να υπάρχει απευθείας πρόσβαση από το υπουργείο Αγροτικής Ανάπτυξης και Τροφίμων,από τις εισόδους και εξόδους της χώρας, τους δήμους και όλα τα κτηνιατρεία της χώρας. Η σύνδεση αυτή αναμένεται να ολοκληρωθεί ως τα μέσα του 2011» αναφέρει.
Για το αν η εμφύτευση της συγκεκριμένης τεχνολογίας θα μπορούσε να είναι επικίνδυνη για τους τετράποδους φίλους μας η κυρία Τραχήλη υποστηρίζει ότι όσες μελέτες έχουν πραγματοποιηθεί δεν είναι πλήρως τεκμηριωμένες. «Για να λάβει έγκριση ένα εμφυτεύσιμο μικροτσίπ περνάει από μια σειρά μελετών και δοκιμών. Ενδεχομένως κάποιες έρευνες να συνδέουν τα εμφυτεύσιμα μικροτσίπ με την εμφάνιση καρκίνου.Αν ωστόσο υπήρχε και η παραμικρή βάσιμη υποψία,θεωρώ ότι δεν θα επιτρεπόταν κάτι τέτοιο.Ειδικά από τη στιγμή που υπάρχουν τόσοι νόμοι σε Ευρώπη και ΗΠΑ για την προστασία της ευζωίας των ζώων. Αλλωστε, η εμφύτεσή του αποτελεί εφαρμογή ευρωπαϊκής νομοθεσίας και σε άλλες χώρες έχει ξεκινήσει πολύ νωρίτερα από το 2003».
Κτηνιατρική πράξη
«Δυστυχώς πάρα πολλά ζώα μεταφέρονται από την Ελλάδα σε άλλες χώρες με το πρόσχημα ότι θα έχουν καλύτερες συνθήκες διαβίωσης. Τελικά όμως δεν γνωρίζουμε τι τύχη έχουν αυτά. Ο έλεγχος, μέσω της ταυτοποίησης, θα μπορούσε να βοηθήσει πολύ στην αποτροπή των κινήσεων αυτών» αναφέρει η κυρία Τραχήλη. «Μέχρι τώρα υπάρχουν μόνο περί τις 135.000 καταχωρίσεις στη χώρα μας,γιατί ως γνωστόν στην Ελλάδα μπορεί να υπάρχουν νόμοι αλλά αυτοί πολλές φορές δεν εφαρμόζονται» τονίζει η επικεφαλής.
«Παρ΄ όλα αυτά το κράτοςχορηγεί στους δήμους κονδύλια για στειρώσεις,μικροτσίπ κτλ.Η Αθήνα και η Θεσσαλονίκη εμφανίζονται ως οι πλέον ενεργοί δήμοι.Σε ορισμένες περιοχές της Θεσσαλίας πάλι, εθελοντικά,κάποιοι αντιδήμαρχοι,που είναι υπεύθυνοι για τη γεωργία και την κτηνοτροφία των περιοχών αυτών,με δικά τους χρήματα κάλεσαν τους ιδιοκτήτες ζώων να βάλουν μικροτσίπ,όπως, π.χ.,στον Δήμο Βόλου» μας εξηγεί η κυρία Τραχήλη, υπογραμμίζοντας ότι η τοποθέτηση του μικροτσίπ είναι μόνο για τα δεσποζόμενα ζώα. Στην περίπτωση των αδέσποτων ζώων τοποθετούνται ειδικά κολάρα ή μικροτσίπ, τα οποία επίσης καταχωρίζονται στη βάση δεδομένων.
«Παρ΄ όλα αυτά, το πρόβλημα είναι μεγάλο. Στην παρούσα φάση συνδεόμαστε με την Εuropetnet, την ευρωπαϊκή βάση δεδομένων για τον εντοπισμό χαμένων ζώων,ενώ παράλληλα φτιάχνουμε ένα καινούργιο σύστημα προκειμένου να υπάρχει απευθείας πρόσβαση από το υπουργείο Αγροτικής Ανάπτυξης και Τροφίμων,από τις εισόδους και εξόδους της χώρας, τους δήμους και όλα τα κτηνιατρεία της χώρας. Η σύνδεση αυτή αναμένεται να ολοκληρωθεί ως τα μέσα του 2011» αναφέρει.
Για το αν η εμφύτευση της συγκεκριμένης τεχνολογίας θα μπορούσε να είναι επικίνδυνη για τους τετράποδους φίλους μας η κυρία Τραχήλη υποστηρίζει ότι όσες μελέτες έχουν πραγματοποιηθεί δεν είναι πλήρως τεκμηριωμένες. «Για να λάβει έγκριση ένα εμφυτεύσιμο μικροτσίπ περνάει από μια σειρά μελετών και δοκιμών. Ενδεχομένως κάποιες έρευνες να συνδέουν τα εμφυτεύσιμα μικροτσίπ με την εμφάνιση καρκίνου.Αν ωστόσο υπήρχε και η παραμικρή βάσιμη υποψία,θεωρώ ότι δεν θα επιτρεπόταν κάτι τέτοιο.Ειδικά από τη στιγμή που υπάρχουν τόσοι νόμοι σε Ευρώπη και ΗΠΑ για την προστασία της ευζωίας των ζώων. Αλλωστε, η εμφύτεσή του αποτελεί εφαρμογή ευρωπαϊκής νομοθεσίας και σε άλλες χώρες έχει ξεκινήσει πολύ νωρίτερα από το 2003».
Κτηνιατρική πράξη
Η κυρία Τραχήλη αποκάλυψε ότι υπάρχουν πολλοί εκτροφείς οι οποίοι αναλαμβάνουν οι ίδιοι να τοποθετούν μικροτσίπ στα ζώα τους, χωρίς να απευθύνονται σε κάποιον ειδικό. «Το βάζουν μόνο και μόνο για να πουν στον υποψήφιο αγοραστή ότι, π.χ.,ο σκύλος έχει και το μικροτσίπ. Η τοποθέτηση του μικροτσίπ είναι μια ένεση και σύμφωνα με τη νομοθεσία αποτελεί μια κτηνιατρική πράξη. Πολλές φορές, λοιπόν, βλέπουμε ότι αντί να βάλουν το μικροτσίπ στην αριστερή πλευρά του τραχήλου,το βάζουν σε διάφορα άσχετα σημεία, τα οποία ενδεχομένως να προκαλέσουν πρόβλημα στο ζώο» παραδέχεται η κυρία Τραχήλη.
Παρά το γεγονός ότι ο κανονισμός της ΕΕ έχει εγκριθεί από τις 9 Ιουνίου του 2008, ωστόσο η ηλεκτρονική ταυτοποίηση στα ιπποειδή στην Ελλάδα, κατά την πρόεδρο του ΠΚΣ, έχει καθυστερήσει υπερβολικά. « O κανονισμός έπρεπε να είχε ήδη εφαρμοστεί από το 2008.Από πληροφορίες που έχω, σε κάποια ζώα τοποθετούνται ήδη μικροτσίπ και χορηγούνται διαβατήρια, απλά το υπουργείο δεν έχει προχωρήσει ακόμη στις επίσημες παρεμβάσεις. Από την άλλη πλευρά, αναμένεται να εφαρμοστεί και στα αιγοπρόβατα μια διαφορετική μέθοδος ταυτοποίησης η οποία όμως δεν θα εισάγεται υποδόρια:το συγκεκριμένο μικροτσίπ θα έχει τη μορφή κεραμικού βόλου, θα εισάγεται από το στόμα, θα καταπίνεται από το ζώο και θα πηγαίνει στο στομάχι, όπου και θα παραμένει» μας λέει η ίδια.
Παρά το γεγονός ότι ο κανονισμός της ΕΕ έχει εγκριθεί από τις 9 Ιουνίου του 2008, ωστόσο η ηλεκτρονική ταυτοποίηση στα ιπποειδή στην Ελλάδα, κατά την πρόεδρο του ΠΚΣ, έχει καθυστερήσει υπερβολικά. « O κανονισμός έπρεπε να είχε ήδη εφαρμοστεί από το 2008.Από πληροφορίες που έχω, σε κάποια ζώα τοποθετούνται ήδη μικροτσίπ και χορηγούνται διαβατήρια, απλά το υπουργείο δεν έχει προχωρήσει ακόμη στις επίσημες παρεμβάσεις. Από την άλλη πλευρά, αναμένεται να εφαρμοστεί και στα αιγοπρόβατα μια διαφορετική μέθοδος ταυτοποίησης η οποία όμως δεν θα εισάγεται υποδόρια:το συγκεκριμένο μικροτσίπ θα έχει τη μορφή κεραμικού βόλου, θα εισάγεται από το στόμα, θα καταπίνεται από το ζώο και θα πηγαίνει στο στομάχι, όπου και θα παραμένει» μας λέει η ίδια.
ΕΜΦΥΤΕΥΣΕΙΣ ΣΕ ΑΝΘΡΩΠΟΥΣ
Σύμφωνα με στοιχεία που παρουσίασε σε πρόσφατο ρεπορτάζ του το αμερικανικό ειδησεογραφικό δίκτυο CΒS,στις ΗΠΑ υπάρχουν περίπου 100 καταγεγραμμένοι ασθενείς οι οποίοι φέρουν εμφυτεύσιμα μικροτσίπ.Πολλές,ωστόσο,είναι οι περιπτώσεις εργαζομένων που προκειμένου να έχουν πρόσβαση σε απαραίτητους για την εργασία τους χώρους οδηγήθηκαν εμμέσως στην αποδοχή της υποδόριας εμφύτευσης της τεχνολογίας RFΙD.
«Αυτό που ίσως ανησυχεί περισσότερο τον κόσμοείναι το ενδεχόμενο κάποια μέρα ο εργοδότης τους να τους υποχρεώσει να τοποθετήσουν το εν λόγω μικροτσίπ. Πριν από καιρό, ο πρόεδρος της εταιρείας City Watcher, στο Σινσινάτι, κ. Σον Νταρκς αποφάσισε πως μόνο οι κάτοχοι ενός εμφυτεύσιμου μικροτσίπ θα είχαν πρόσβαση στον χώρο αποθήκευσης των αρχείων της εταιρείας. Τελικά, τοποθετήθηκαν VeriChip στον ίδιο και σε δύο εργαζομένους, ενώ ένας άλλος ο οποίος αρνήθηκε την εμφύτευση κατέληξε να φοράει το μικροτσίπ υπό μορφήν κάρτας στον λαιμό. Παρά το γεγονός ότι κανείς δεν υποχρεώθηκε να το κάνει, ωστόσο οι νέοι κανονισμοί της επιχείρησης επέβαλαν κατά κάποιο τρόπο την απόκτηση του μικροτσίπ. Η εταιρεία αυτή έπειτα από λίγο καιρό έκλεισε»μας λέει η δρ Αλμπρεχτ.
Το 2004 κυκλοφόρησε στα μέσα ενημέρωσης ότι στα γραφεία της Γενικής Εισαγγελίας του Μεξικού 18 υπάλληλοι δέχθηκαν την εμφύτευση μικροτσίπ RFΙD προκειμένου να έχουν πρόσβαση στο αρχείο φακέλων εγκληματιών.Η συγκεκριμένη πράξη δεν ήταν υποχρεωτική,ωστόσο όσοι από τους υπαλλήλους αρνήθηκαν να προχωρήσουν σε αυτήν,απλά μετατέθηκαν σε άλλο τμήμα.
Στην Ινδονησία,πάλι,το 2008, σε μια προσπάθεια να περιορίσουν την εξάπλωση του ΑΙDS,οι νομοθέτες της χώρας πρότειναν την ηλεκτρονική ταυτοποίηση των οροθετικών μέσω εμφυτεύσιμων μικροτσίπ για την καταγραφή της σεξουαλικής τους δραστηριότητας.Η πρόταση απορρίφθηκε ομόφωνα από την Εθνική Επιτροπή για το ΑΙDS καθώς,όπως υποστήριξε,παραβίαζε τα ανθρώπινα δικαιώματα.Ωστόσο αρκετά κράτη φλερτάρουν με την ιδέα της εφαρμογής της συγκεκριμένης τεχνολογίας σε φυλακισμένους και κατάδικους,με στόχο τη συνεχή παρακολούθησή τους.
Αν ποτέ φτάσουμε στο σημείο να «αγκαλιάσουμε» συνειδητά και σωματικά μικροσκοπικά αλλά ταυτόχρονα πανίσχυρα εμφυτεύματα ικανά να κουβαλούν δεδομένα που θα απογυμνώνουν την προσωπικότητα και την οντότητά μας,τότε ίσως το φουτουριστικό σενάριο του λιβανέζου δημιουργού Ομάρ Ναΐμ να μη φαντάζει πια τόσο ξένο...
ΚΑΡΚΙΝΟΣ ΕΡΓΑΣΤΗΡΙΟΥ ΜΕ «ΚΟΙΝΩΝΙΚΕΣ» ΜΕΤΑΣΤΑΣΕΙΣ
Σύμφωνα με στοιχεία που παρουσίασε σε πρόσφατο ρεπορτάζ του το αμερικανικό ειδησεογραφικό δίκτυο CΒS,στις ΗΠΑ υπάρχουν περίπου 100 καταγεγραμμένοι ασθενείς οι οποίοι φέρουν εμφυτεύσιμα μικροτσίπ.Πολλές,ωστόσο,είναι οι περιπτώσεις εργαζομένων που προκειμένου να έχουν πρόσβαση σε απαραίτητους για την εργασία τους χώρους οδηγήθηκαν εμμέσως στην αποδοχή της υποδόριας εμφύτευσης της τεχνολογίας RFΙD.
«Αυτό που ίσως ανησυχεί περισσότερο τον κόσμοείναι το ενδεχόμενο κάποια μέρα ο εργοδότης τους να τους υποχρεώσει να τοποθετήσουν το εν λόγω μικροτσίπ. Πριν από καιρό, ο πρόεδρος της εταιρείας City Watcher, στο Σινσινάτι, κ. Σον Νταρκς αποφάσισε πως μόνο οι κάτοχοι ενός εμφυτεύσιμου μικροτσίπ θα είχαν πρόσβαση στον χώρο αποθήκευσης των αρχείων της εταιρείας. Τελικά, τοποθετήθηκαν VeriChip στον ίδιο και σε δύο εργαζομένους, ενώ ένας άλλος ο οποίος αρνήθηκε την εμφύτευση κατέληξε να φοράει το μικροτσίπ υπό μορφήν κάρτας στον λαιμό. Παρά το γεγονός ότι κανείς δεν υποχρεώθηκε να το κάνει, ωστόσο οι νέοι κανονισμοί της επιχείρησης επέβαλαν κατά κάποιο τρόπο την απόκτηση του μικροτσίπ. Η εταιρεία αυτή έπειτα από λίγο καιρό έκλεισε»μας λέει η δρ Αλμπρεχτ.
Το 2004 κυκλοφόρησε στα μέσα ενημέρωσης ότι στα γραφεία της Γενικής Εισαγγελίας του Μεξικού 18 υπάλληλοι δέχθηκαν την εμφύτευση μικροτσίπ RFΙD προκειμένου να έχουν πρόσβαση στο αρχείο φακέλων εγκληματιών.Η συγκεκριμένη πράξη δεν ήταν υποχρεωτική,ωστόσο όσοι από τους υπαλλήλους αρνήθηκαν να προχωρήσουν σε αυτήν,απλά μετατέθηκαν σε άλλο τμήμα.
Στην Ινδονησία,πάλι,το 2008, σε μια προσπάθεια να περιορίσουν την εξάπλωση του ΑΙDS,οι νομοθέτες της χώρας πρότειναν την ηλεκτρονική ταυτοποίηση των οροθετικών μέσω εμφυτεύσιμων μικροτσίπ για την καταγραφή της σεξουαλικής τους δραστηριότητας.Η πρόταση απορρίφθηκε ομόφωνα από την Εθνική Επιτροπή για το ΑΙDS καθώς,όπως υποστήριξε,παραβίαζε τα ανθρώπινα δικαιώματα.Ωστόσο αρκετά κράτη φλερτάρουν με την ιδέα της εφαρμογής της συγκεκριμένης τεχνολογίας σε φυλακισμένους και κατάδικους,με στόχο τη συνεχή παρακολούθησή τους.
Αν ποτέ φτάσουμε στο σημείο να «αγκαλιάσουμε» συνειδητά και σωματικά μικροσκοπικά αλλά ταυτόχρονα πανίσχυρα εμφυτεύματα ικανά να κουβαλούν δεδομένα που θα απογυμνώνουν την προσωπικότητα και την οντότητά μας,τότε ίσως το φουτουριστικό σενάριο του λιβανέζου δημιουργού Ομάρ Ναΐμ να μη φαντάζει πια τόσο ξένο...
ΚΑΡΚΙΝΟΣ ΕΡΓΑΣΤΗΡΙΟΥ ΜΕ «ΚΟΙΝΩΝΙΚΕΣ» ΜΕΤΑΣΤΑΣΕΙΣ
Κάθετα αντίθετη στην εμφύτευση των μικροτσίπ τόσο σε ανθρώπους όσο και σε ζώα,η δρΚάθριν Αλμπρεχτ,απόφοιτος του Πανεπιστημίου του Χάρβαρντ,συγγραφέας και ιδρύτρια της ιστοσελίδας www. ΑntiChips.com,συγκέντρωσε σειρά μελετών από το 1990 έως το 2006 που αφορούσαν την καρκινογόνο επίδραση των «έξυπνων» μικροσυσκευών στην υγεία πειραματόζωων.
«Τα πειραματόζωα που μελετούνταν στις έρευνες που εξετάσαμεέφεραν μικροτσίπ για τη διευκόλυνση της καταμέτρησής τους και την ταχύτερη καταγραφή των αποτελεσμάτων των πειραμάτων,που αφορούσαν όμως άλλο επιστημονικό θέμα» αναφέρει η δρ Αλμπρεχτ.«Οταν οι επιστήμονες αντιλήφθηκαν ότι τα ζώα εμφάνιζαν καρκινικούς όγκους,αποφάσισαν να σταματήσουν την έρευνά τους και να καταγράψουν τα ανησυχητικά αυτά αποτελέσματα,τα οποία στη συνέχεια δημοσίευσαν σε έγκυρα επιστημονικά έντυπα».
«Οι ερευνητές έκαναν το εξής:σε έρευνες με ποντίκια,για παράδειγμα,μοίρασαν τα ζώα σε ομάδες.Κάποια μπήκαν στην ομάδα ελέγχου (control group) και κάποια άλλα στην πειραματική ομάδα.Ολα όμως έφεραν εμφυτεύσιμο μικροτσίπ.Οσα ανήκαν στην πειραματική ομάδα εκθέτονταν σε χημικά ή ακτινοβολία ή υποβάλλονταν σε άλλες διαδικασίες,ενώ όσα ήταν στην ομάδα ελέγχου ζούσαν σε φυσιολογικές συνθήκες.Επειτα από κάποιο χρονικό διάστημα,λοιπόν»,«οι ερευνητές παρατηρούσαν ότι τα ζώα ανέπτυσσαν καρκινικούς όγκους γύρω ή δίπλα από τα εμφυτεύσιμα μικροτσίπ και για ευνόητους λόγους κάτι τέτοιο επηρέαζε την πορεία των ερευνών τους»υποστηρίζει η ερευνήτρια από την πλευρά της.
«Οι όγκοι αναπτύσσονταν ταχύτατα.Σε κάποιες περιπτώσειςμάλιστα αυτοί ήταν τόσο μεγάλοι που τα ζώα δεν μπορούσαν να φτάσουν στο φαγητό τους,ενώ είχαν την τάση να κάνουν μεταστάσεις και σε άλλα σημεία του οργανισμού»μας εξηγεί η δρ Αλμπρεχτ.Οταν το 2007 τα αποτελέσματα αυτά βγήκαν στη δημοσιότητα ξέσπασε θύελλα αντιδράσεων,καθώς πολλά ήταν τα αναπάντητα ερωτηματικά από την πλευρά του κόσμου προς τις αρμόδιες αρχές και ιδιαίτερα για το θέμα της έγκρισης του εμφυτεύσιμου για τον άνθρωπο μικροτσίπ VeriChip.
«Από τότε που το όλο ζήτημα έγινε γνωστό,το 2007, πολλές δοκιμές οι οποίες βρίσκονταν στα σκαριά και αφορούσαν την εμφύτευση μικροτσίπ RFΙD σε ανθρώπους τελικά ακυρώθηκαν.
Συγκεκριμένα,υπήρξε και η περίπτωση ενός ασθενούς με Αλτσχάιμερ,που συμμετείχε σε πειράματα εταιρείας κατασκευής των μικροτσίπ,ο οποίος με προσέγγισε λέγοντάς μου ότι απαίτησε να του αφαιρεθεί άμεσα το μικροτσίπ.
Οπως έμαθα,ακολούθησαν και άλλες παρόμοιες περιπτώσεις ασθενών που ζήτησαν το ίδιο».«Από την άλλη πλευρά,ιδιοκτήτες σκύλων που έφεραν μικροτσίπ και είχαν αναπτύξει καρκίνο άρχισαν να επικοινωνούν μαζί μου,λέγοντας ότι επιθυμούν να μιλήσουν στα μέσα μαζικής ενημέρωσης για την εμπειρία τους»λέει η ίδια.
«Δεν πιστεύω ότι η κυβέρνηση θα πρέπει να είναι σε θέση να ελέγχει κάθε πλευρά της ζωής των πολιτών. Το επόμενο βήμα θα είναι να μας τοποθετήσει μια κάμερα στην κρεβατοκάμαρα. Αποψή μου είναι ότι η τεχνολογία που εφαρμόζεται ευρέως στα ζώακάποια στιγμή θα έρθει και στον άνθρωπο. Αν δεν θέλουμε λοιπόν να ζήσουμε σε μια τέτοια κοινωνία, τότε θα πρέπει να βρούμε έναν άλλον τρόπο να αντιμετωπίσουμε παρόμοιες δυσκολίες. Γιατί σε κάποια φάση τα μικροτσίπ αυτά δεν αποκλείεται να αποκτήσουν δυνατότητα εντοπισμού μέσω GΡS ή επίδρασης στα συναισθήματά μας. Πιστεύω ότι θα πρέπει να τραβήξουμε μια γραμμή και να αρνηθούμε την εμφύτευση μικροτσίπ σε έμβια όντα- είτε πρόκειται για κατοικίδιαείτε για συγγενείς»ισχυρίζεται ένθερμα η δρ Αλμπρεχτ.
«Τα πειραματόζωα που μελετούνταν στις έρευνες που εξετάσαμεέφεραν μικροτσίπ για τη διευκόλυνση της καταμέτρησής τους και την ταχύτερη καταγραφή των αποτελεσμάτων των πειραμάτων,που αφορούσαν όμως άλλο επιστημονικό θέμα» αναφέρει η δρ Αλμπρεχτ.«Οταν οι επιστήμονες αντιλήφθηκαν ότι τα ζώα εμφάνιζαν καρκινικούς όγκους,αποφάσισαν να σταματήσουν την έρευνά τους και να καταγράψουν τα ανησυχητικά αυτά αποτελέσματα,τα οποία στη συνέχεια δημοσίευσαν σε έγκυρα επιστημονικά έντυπα».
«Οι ερευνητές έκαναν το εξής:σε έρευνες με ποντίκια,για παράδειγμα,μοίρασαν τα ζώα σε ομάδες.Κάποια μπήκαν στην ομάδα ελέγχου (control group) και κάποια άλλα στην πειραματική ομάδα.Ολα όμως έφεραν εμφυτεύσιμο μικροτσίπ.Οσα ανήκαν στην πειραματική ομάδα εκθέτονταν σε χημικά ή ακτινοβολία ή υποβάλλονταν σε άλλες διαδικασίες,ενώ όσα ήταν στην ομάδα ελέγχου ζούσαν σε φυσιολογικές συνθήκες.Επειτα από κάποιο χρονικό διάστημα,λοιπόν»,«οι ερευνητές παρατηρούσαν ότι τα ζώα ανέπτυσσαν καρκινικούς όγκους γύρω ή δίπλα από τα εμφυτεύσιμα μικροτσίπ και για ευνόητους λόγους κάτι τέτοιο επηρέαζε την πορεία των ερευνών τους»υποστηρίζει η ερευνήτρια από την πλευρά της.
«Οι όγκοι αναπτύσσονταν ταχύτατα.Σε κάποιες περιπτώσειςμάλιστα αυτοί ήταν τόσο μεγάλοι που τα ζώα δεν μπορούσαν να φτάσουν στο φαγητό τους,ενώ είχαν την τάση να κάνουν μεταστάσεις και σε άλλα σημεία του οργανισμού»μας εξηγεί η δρ Αλμπρεχτ.Οταν το 2007 τα αποτελέσματα αυτά βγήκαν στη δημοσιότητα ξέσπασε θύελλα αντιδράσεων,καθώς πολλά ήταν τα αναπάντητα ερωτηματικά από την πλευρά του κόσμου προς τις αρμόδιες αρχές και ιδιαίτερα για το θέμα της έγκρισης του εμφυτεύσιμου για τον άνθρωπο μικροτσίπ VeriChip.
«Από τότε που το όλο ζήτημα έγινε γνωστό,το 2007, πολλές δοκιμές οι οποίες βρίσκονταν στα σκαριά και αφορούσαν την εμφύτευση μικροτσίπ RFΙD σε ανθρώπους τελικά ακυρώθηκαν.
Συγκεκριμένα,υπήρξε και η περίπτωση ενός ασθενούς με Αλτσχάιμερ,που συμμετείχε σε πειράματα εταιρείας κατασκευής των μικροτσίπ,ο οποίος με προσέγγισε λέγοντάς μου ότι απαίτησε να του αφαιρεθεί άμεσα το μικροτσίπ.
Οπως έμαθα,ακολούθησαν και άλλες παρόμοιες περιπτώσεις ασθενών που ζήτησαν το ίδιο».«Από την άλλη πλευρά,ιδιοκτήτες σκύλων που έφεραν μικροτσίπ και είχαν αναπτύξει καρκίνο άρχισαν να επικοινωνούν μαζί μου,λέγοντας ότι επιθυμούν να μιλήσουν στα μέσα μαζικής ενημέρωσης για την εμπειρία τους»λέει η ίδια.
«Δεν πιστεύω ότι η κυβέρνηση θα πρέπει να είναι σε θέση να ελέγχει κάθε πλευρά της ζωής των πολιτών. Το επόμενο βήμα θα είναι να μας τοποθετήσει μια κάμερα στην κρεβατοκάμαρα. Αποψή μου είναι ότι η τεχνολογία που εφαρμόζεται ευρέως στα ζώακάποια στιγμή θα έρθει και στον άνθρωπο. Αν δεν θέλουμε λοιπόν να ζήσουμε σε μια τέτοια κοινωνία, τότε θα πρέπει να βρούμε έναν άλλον τρόπο να αντιμετωπίσουμε παρόμοιες δυσκολίες. Γιατί σε κάποια φάση τα μικροτσίπ αυτά δεν αποκλείεται να αποκτήσουν δυνατότητα εντοπισμού μέσω GΡS ή επίδρασης στα συναισθήματά μας. Πιστεύω ότι θα πρέπει να τραβήξουμε μια γραμμή και να αρνηθούμε την εμφύτευση μικροτσίπ σε έμβια όντα- είτε πρόκειται για κατοικίδιαείτε για συγγενείς»ισχυρίζεται ένθερμα η δρ Αλμπρεχτ.
φωτογραφία από: http://evanomics.net/images/rfid.jpg

0 σχόλια:
Δημοσίευση σχολίου